Implant In Esthetic Zone
รากฟันเทียมในตำแหน่งความสวยงาม
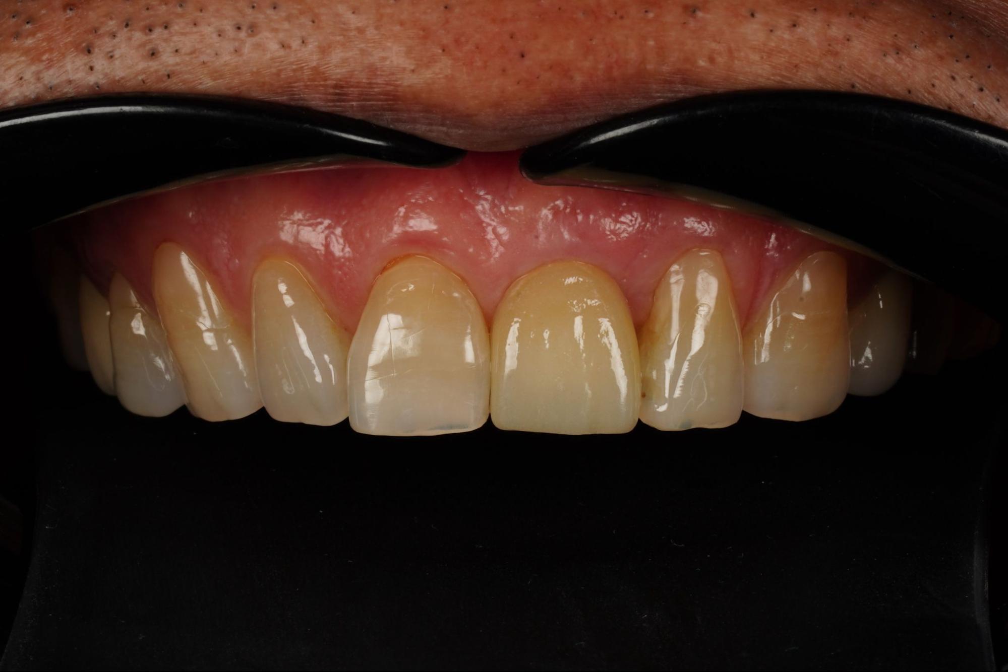
การสูญเสียฟันหน้านอกจากส่งผลกระทบต่อการบดเคี้ยวแล้ว ยังทำลายความมั่นใจและภาพลักษณ์โดยรวมของผู้ป่วย การทดแทนฟันในบริเวณนี้ด้วยรากฟันเทียมจึงเป็นการบูรณะรอยยิ้มให้กลับมาเป็นธรรมชาติ สร้างความมั่นใจกลับมาอีกครั้งให้ผู้ป่วย อย่างไรก็ตามการให้การรักษาในตำแหน่งนี้จำเป็นต้องอาศัยความรู้และการวางแผนที่ดีเพื่อให้การรักษาประสบผลสำเร็จ

ภาพแสดงการสูญเสียฟันในตำแหน่งความสวยงาม
ความท้าทายของรากฟันเทียมในตำแหน่งความสวยงาม
บริเวณฟันหน้ามีความซับซ้อนมากกว่าฟันกรามเนื่องจากต้องประสบความสำเร็จใน 3 มิติ ได้แก่:
- ความสวยงามของตัวฟัน (White Esthetics) ฟันที่ใส่บนรากเทียมต้องมีขนาด รูปร่าง สี และพื้นผิวที่กลมกลืนกับฟันธรรมชาติซี่ข้างเคียง ดูเป็นธรรมชาติ
- ความสวยงามของเหงือก (Pink Esthetics) เหงือกที่โอบรอบครอบฟันต้องมีรูปร่างและสีสันสวยงาม มีระดับขอบเหงือกกลมกลืนกับฟันข้างเคียง ไม่มีช่องว่างสามเหลี่ยมสีดำ (Black Triangle)
- ความมั่นคงของกระดูก กระดูกในบริเวณฟันหน้ามักจะบางกว่าฟันกราม จึงจำเป็นต้องมีการคงสภาพกระดูกหลังถอนฟันหรือมีการเสริมกระดูกเพิ่มเติมที่เหมาะสม

ภาพแสดงฟันในตำแหน่งความสวยงาม
หลักการวางแผนการรักษาและขั้นตอนการรักษา
การใส่รากฟันเทียมในตำแหน่งความสวยงามจะใช้แนวคิดที่เรียกว่า Prosthodontic Driven Implant คือการวางแผนตำแหน่งรากเทียมโดยยึดตำแหน่งของครอบฟันเป็นหลัก โดยมีขั้นตอนคือ
- การตรวจ วินิจฉัยและวางแผนการรักษาด้วยระบบดิจิทัล
- การถ่ายภาพรังสี 3 มิติ ใช้เพื่อประเมินความหนาของกระดูก ตำแหน่งของโพรงจมูก ตำแหน่งของฟันข้างเคียง และการจำลองตำแหน่งของรากเทียมที่เหมาะสมที่สุด
- Digital Smile Design (DSD) ใช้เพื่อออกแบบรอยยิ้ม และกำหนดขนาดของครอบฟันใหม่ ให้เข้ากับรูปหน้าและฟันเดิมของผู้ป่วย
- Surgical Guide เป็นการใช้แนวนำทาง 3 มิติที่สร้างจากระบบดิจิทัล เพื่อช่วยให้การฝังรากฟันเทียมเป็นไปอย่างแม่นยำตามแผนที่วางไว้
- เทคนิคการจัดการเนื้อเยื่ออ่อนและกระดูก
เนื่องจากกระดูกและเหงือกมักจะละลายตัวหลังการถอนฟัน ทันตแพทย์จึงอาจต้องใช้เทคนิคพิเศษร่วมด้วยดังต่อไปนี้
- การคงสภาพเบ้าฟัน (Socket Preservation) ในกรณีเป็นการถอนฟันใหม่ อาจทำการปลูกกระดูกและเหงือกทันที เพื่อป้องกันการละลายของกระดูกก่อนการปลูกรากเทียม
- การปลูกกระดูกและเหงือก (Bone & Soft Tissue Grafting) หากกระดูกมีไม่เพียงพอ อาจต้องมีการปลูกกระดูกหรือปลูกเหงือกบริเวณรอบรากฟันเทียม เพื่อให้ได้ปริมาณเนื้อเยื่อที่สวยงามและแข็งแรง
- การใส่ครอบฟันชั่วคราว (Provisional Restoration)
ในระหว่างที่รอกระดูกยึดติดกับรากเทียม (ประมาณ 3-6 เดือน) คนไข้จะมีครอบฟันใส่ชั่วคราวโดยมีวัตถุประสงค์ คือ- รักษารอยยิ้มและความมั่นใจ เพื่อให้ผู้ป่วยสามารถใช้ชีวิตประจำวันได้ตามปกติ
- สร้างรูปร่างของเหงือก ครอบฟันชั่วคราวจะถูกออกแบบให้กดที่เหงือกเบาๆ เพื่อปรับแต่งรูปร่างของเหงือกให้สวยงาม
- การทำครอบฟันถาวร
ครอบฟันที่ใช้ในพื้นที่ความสวยงามมักทำจาก เซรามิกล้วน (All-Ceramic เช่น Zirconia หรือ E-max) ที่มีความโปร่งแสง (Translucency) ใกล้เคียงฟันธรรมชาติมากที่สุด โดยมีการปรับแต่งสีและรูปร่างอย่างละเอียดเพื่อให้เข้ากับฟันซี่อื่น ๆ ของคนไข้
ข้อดีของการทำรากฟันเทียมในพื้นที่ความสวยงาม
- มีความสวยงามเป็นธรรมชาติมากที่สุด ให้ผลลัพธ์ที่สวยงาม กลมกลืนกับฟันธรรมชาติมากที่สุดเมื่อเปรียบเทียบกับการใส่ฟันชนิดอื่น
- คงสภาพกระดูกและเหงือก ช่วยรักษารูปหน้าและป้องกันการยุบตัวของกระดูกและเหงือกบริเวณฟันหน้าที่ส่งผลต่อความสวยงาม
- ความทนทานและใช้งานได้ยาวนาน มีความแข็งแรงและบดเคี้ยวได้อย่างมั่นคง
- ไม่ทำลายฟันข้างเคียง ไม่ต้องกรอฟันซี่ข้างเคียงเหมือนการทำสะพานฟัน







