ภาพก่อน-หลัง
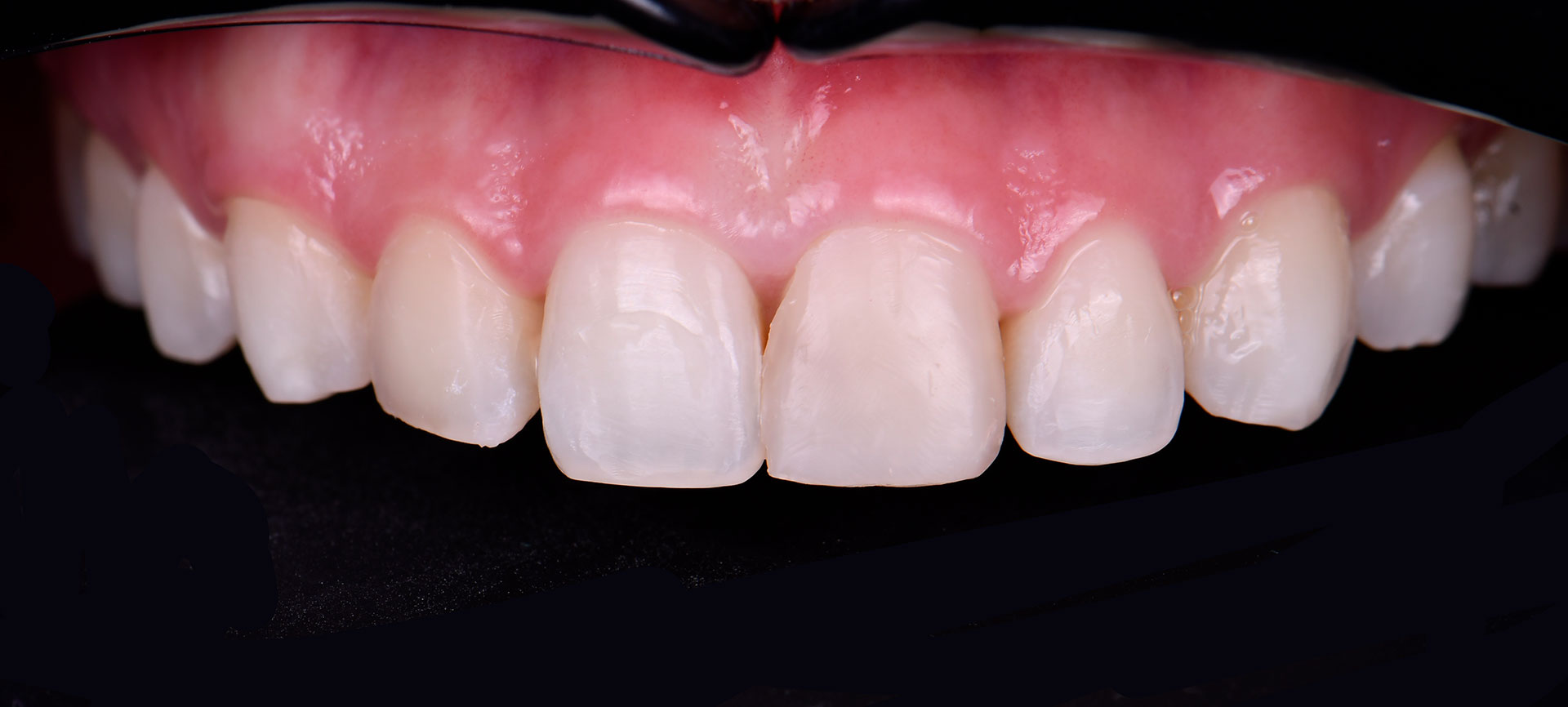
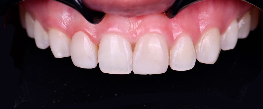
Dental Veneer
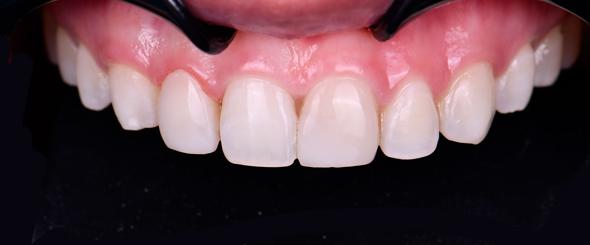
Dental Veneer
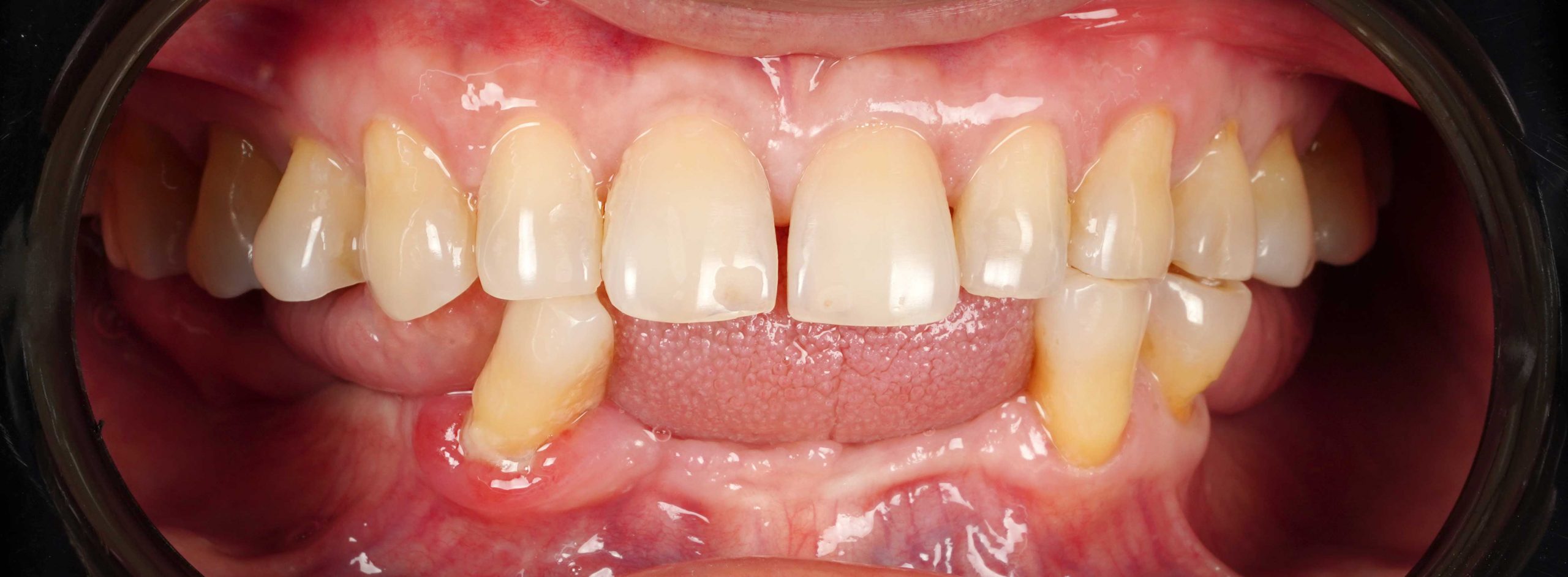
Dental Veneer
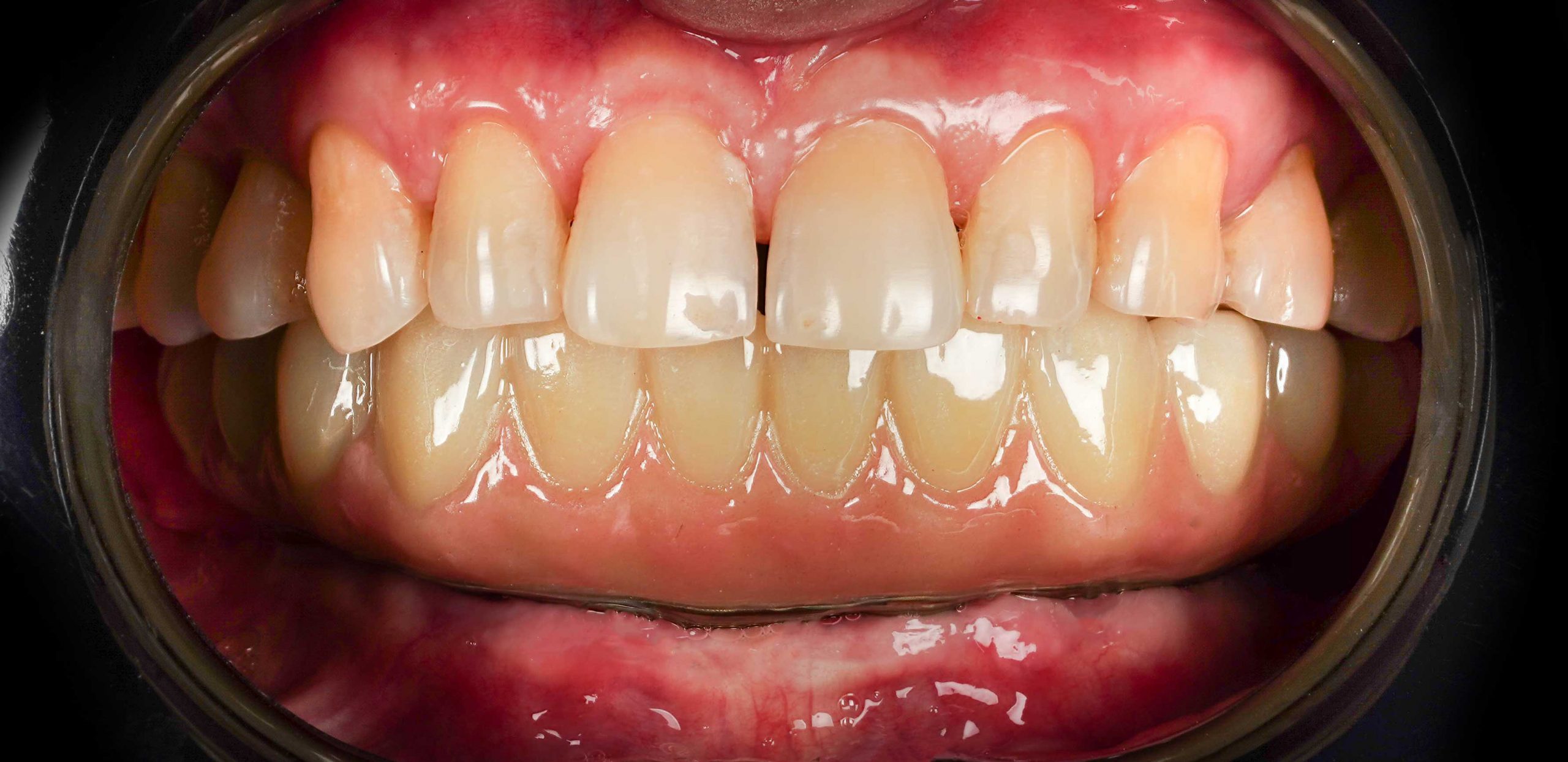
Dental Veneer
Composite Veneer
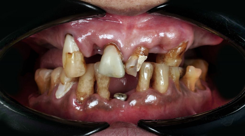
Dental Implant
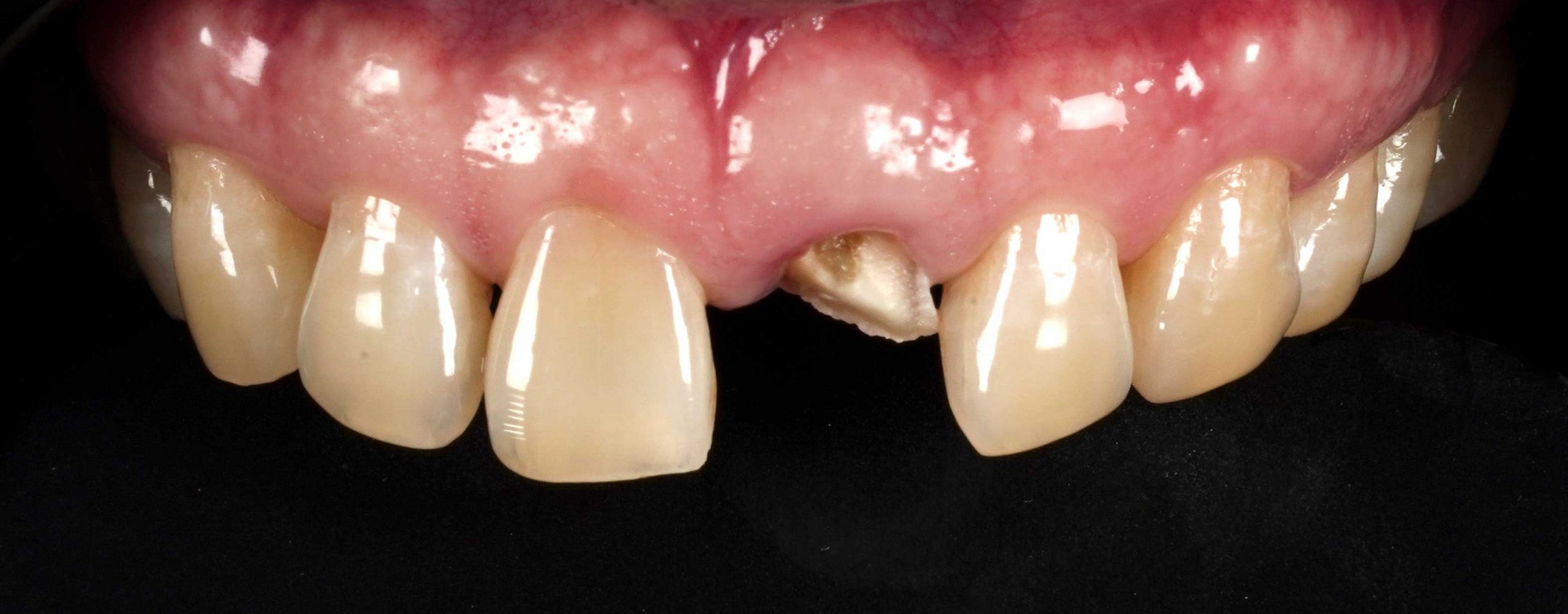
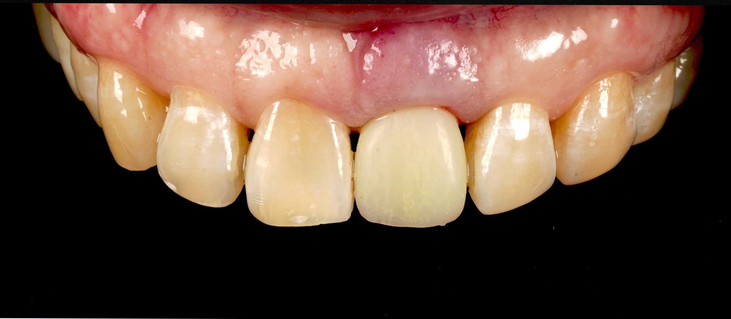
Immediate implant placement
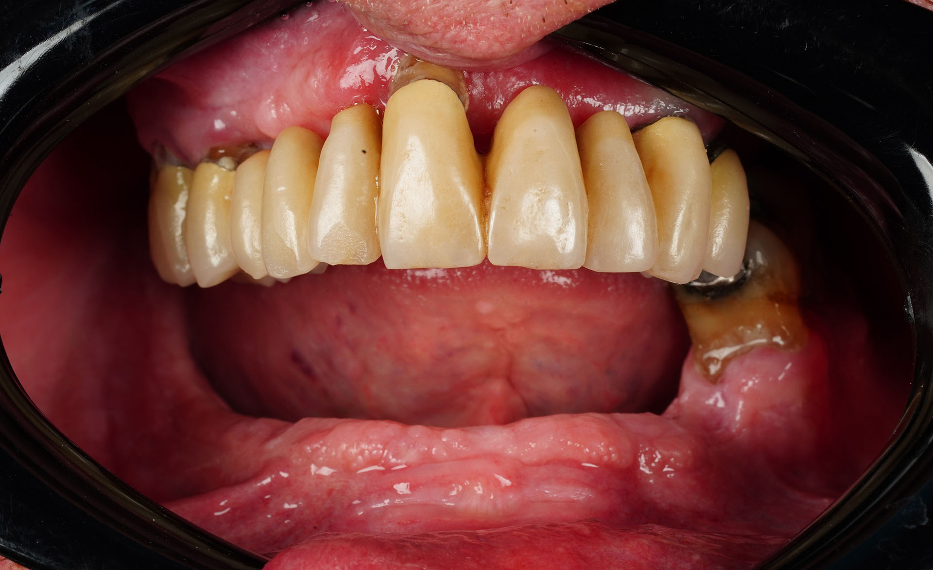
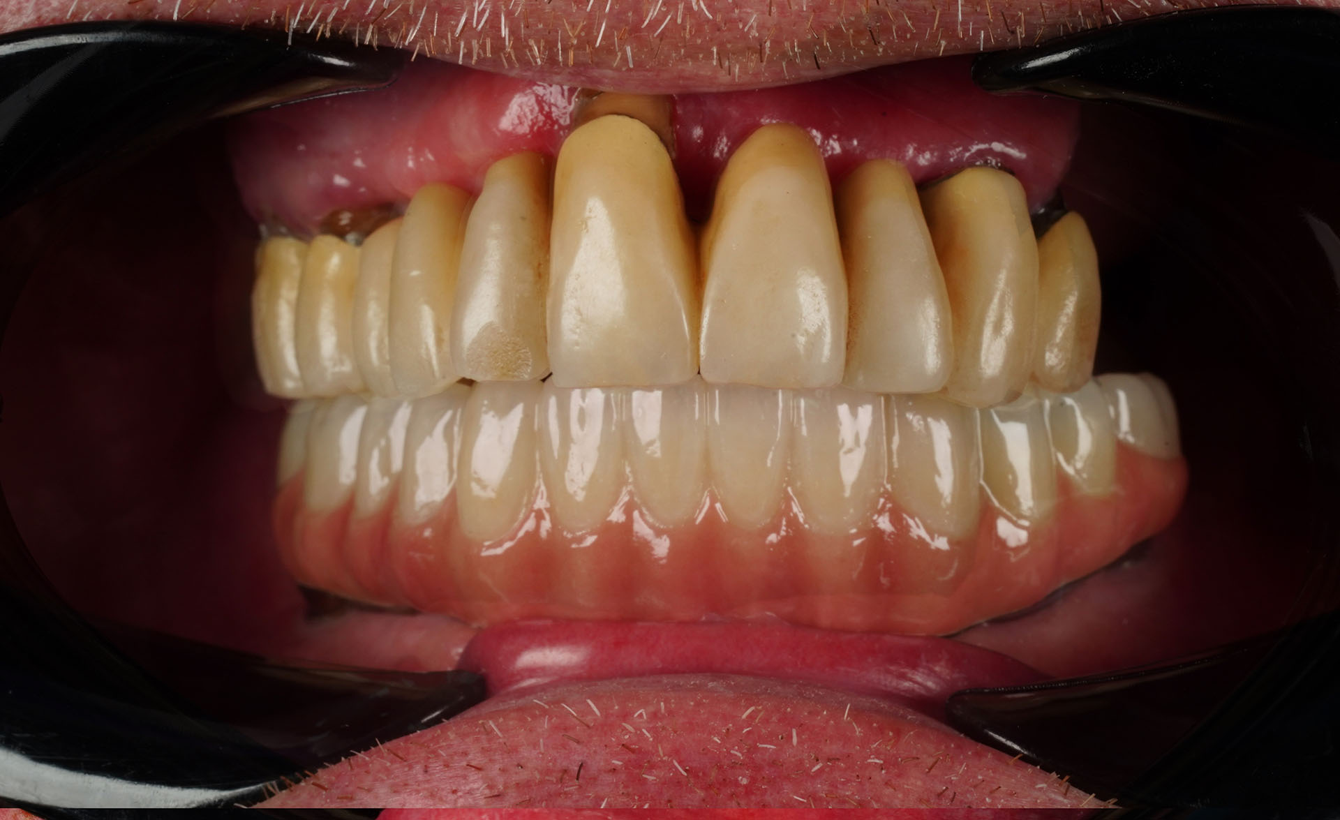
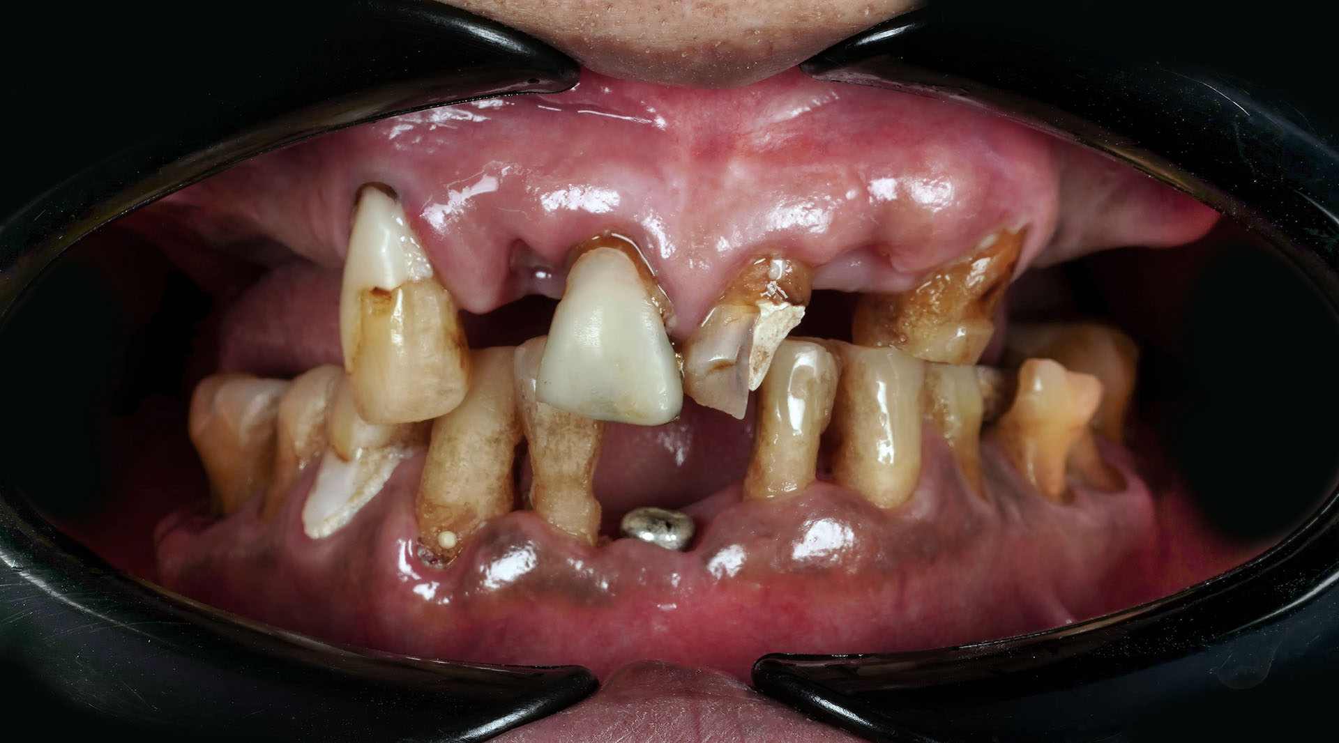
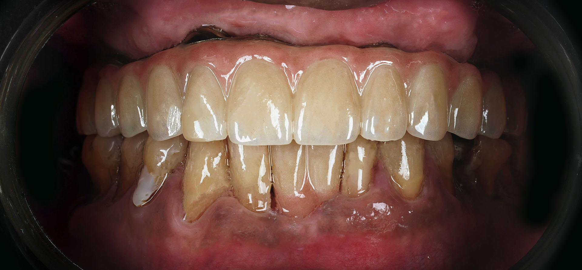
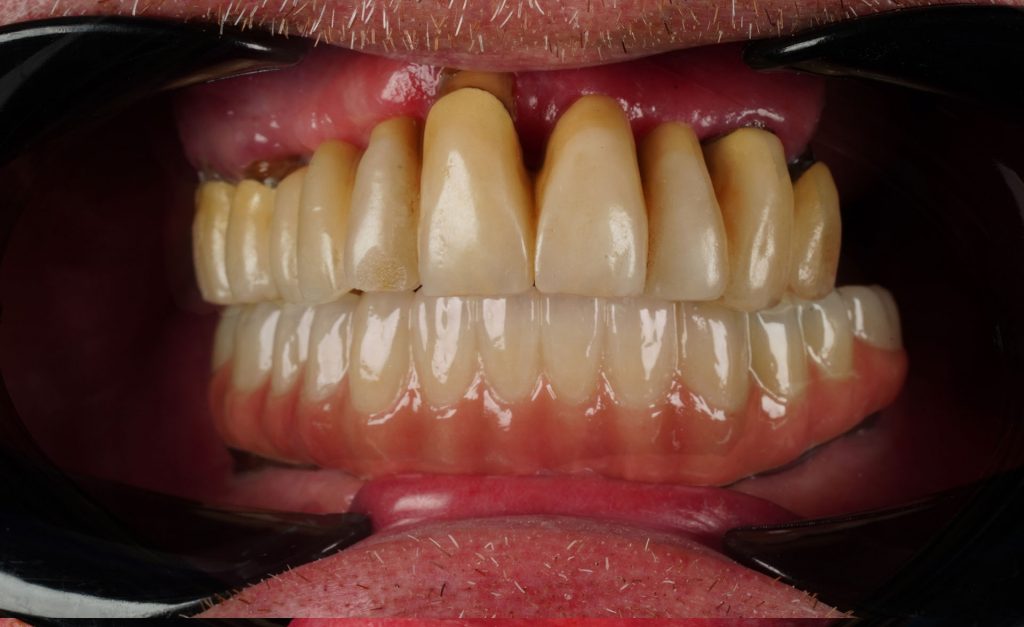
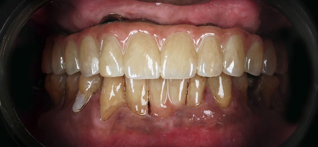
All on X restoration
All on X restoration
All on X restoration
All on X restoration
All on X restoration
Implant-Retained Overdenture
Immediate Loading
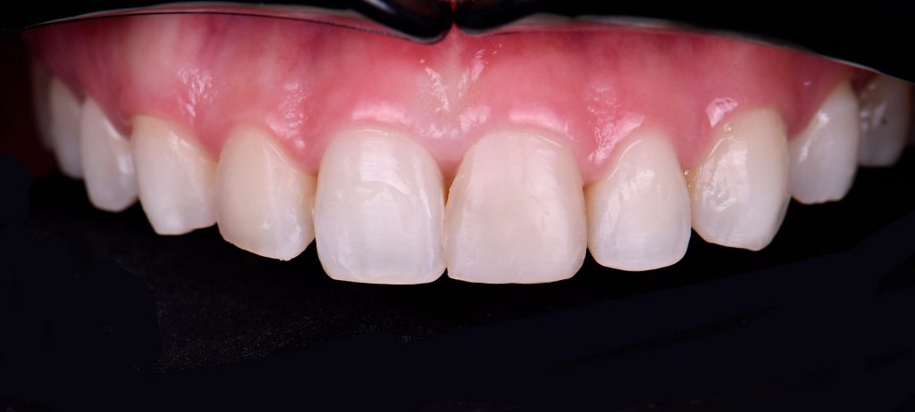
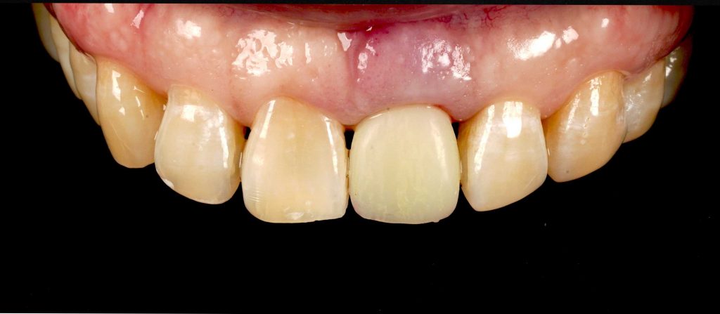
Implant In Esthetic Zone





















































